 |
インプラント、ホワイトニングを中心とした審美歯科 にいや歯科医院 |



インプラント
(骨の中にチタンのボルトを埋め込み歯の根が無いところに歯を作ることができる再生療法) |
 |
 |
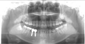
| 院長の母親の症例(10年経過) |
|
 |
 |
 |
 |
 |
隣の健康な歯を削らなくて済んだ症例
インプラントの利点として隣の健康な歯を削らなくて済みます。
隣の歯を削ってセラミックのものを入れる場合と金額はあまり変わってきません。 |
 |
 |
 |
 |
 |
 |
 |
 |
 |
 |
全顎的なインプラント |
 |
 |
 |
 |
下顎の入れ歯を安定させるためのインプラント |
 |
 |
 |
 |
上顎洞という鼻腔に骨の再生療法を行い インプラント埋入を可能にした症例 |

|
 |
写真の右上の骨がない
|
写真の右上にモアモアしたところが骨になっているところ |
 |
|
| 上顎洞挙上した所にインプラント埋入した写真 |
入れ歯 |
 |
 |
 |
 |
 |
 |
 |
 |
 |
 |
|
バネの見えない入れ歯 |
他人からは入れ歯だとはわからない設計で作ります。
金属や特殊な樹脂で作成しますので、違和感が少なく、噛み心地がよく痛みのない入れ歯が作れます。
そう入れ歯でも高い値段に見合った作成方法により、よりよいものが出来ることは、間違いありません。
|
 |
 |
 |
|
 |
 |
 |
 |
 |
 |
| 厚さや大きさをプラスティックで仮に作成し患者様にあったものを作成していく入れ歯 厚さが薄く小さいものは金属で作成していく。
|
|
 |